반응형

반응형
후종인대 골화증이란?



후종인대가 뼈처럼 단단하게 굳어지며(골화) 두꺼워지는 변화를 일으켜 척추관을 지나는 신경을 누르게 됩니다.
이렇게 신경 장애(척추신경근증 혹은 척수증)가 나타나는 질환입니다
디스크는 90% 정도가 흡수되지만 골화증은 유지되거나 자랍니다.
후종인대 골화증 발병원인은?
후종인대골화증은 흔한 질환은 아닙니다.
동아시아 환자 비율이 더 많으며, 한국인 중에는 4% 정도, 서양인들은 1% 정도 발병합니다.
유전되는 것으루 추정되지만 정확하진 않습니다.
후종인대 골화증 증상



몸에 힘이 없거나 감각이 뭔가 이상하다면 바로 병원을 가야 합니다.
다리 힘이 빠져서 비틀거리는 정도인데도 고관절이나 허리에서 별 이상이 없다면 흉추나 목, 머리 등을 확인해야 합니다.
또는 대소변을 볼 때 문제가 발생되기도 합니다.
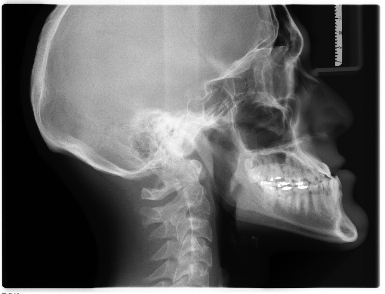
목이 좀 아파서 엑스레이를 찍으러 왔다가 알게 되는 경우가 많습니다.
엑스레이 결과에 뼈에 석회가 끼어 있다는 진단을 받는 환자들이 많습니다.
진행속도가 전부 다르고, 연령대도 다양하게 나타납니다.
자기공명영상(MRI), 컴퓨터단층촬영(CT) 등으로 신경이 눌렸는지 등을 알 수 있습니다.
근전도 검사도 진행합니다.
후종인대 골화증 수술?
장현준 강남 세브란스 병원 신경외과 교수는
"신경이 지나는 통로가 60% 이상 막히면 수술을 권한다.
모양이 뾰족해서 신경을 눌러도 수술을 권한다.
넓혀주는 수술을 받아도 골화증은 진행할 수 있다. 1~2년마다 추적 관찰해야 한다."고 말합니다.
반응형
