
무지외반증


무지외반증은 엄지발가락이 바깥으로 휘는 증상입니다.
엄지발가락이 단순히 옆으로 휘는 것이 아닙니다.
회내전으로, 안쪽으로 돌면서 휘어집니다.
그러면서 종자골이 휘어지고, 나중에는 두번째 발가락까지 아파질 수 있습니다.
심해지면 관절염까지 발생할 수 있습니다.
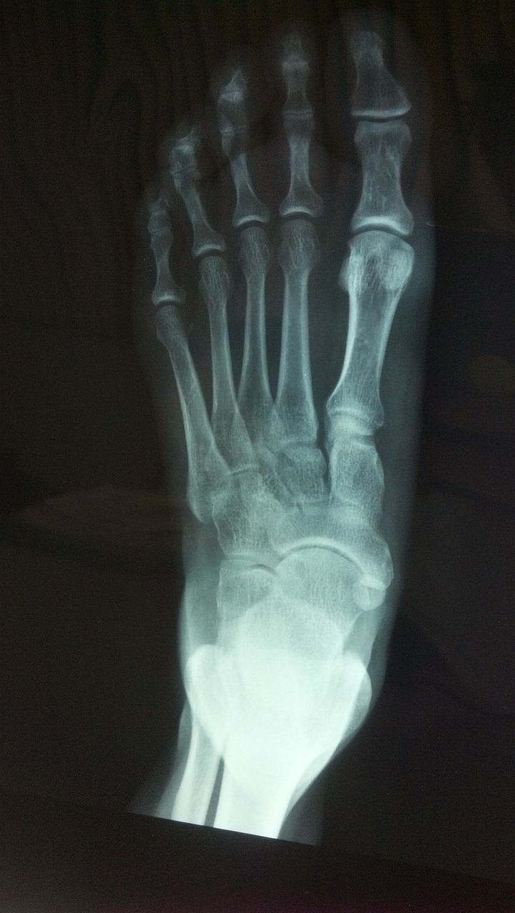
무지외반증 판단 기준
무지외반증의 판단 기준은 2가지입니다.
첫번째는 발가락뼈의 각도인데요.
발가락뼈가 15도 정도 기운 것까지는 정상 각도입니다.
그 이상으로 벌어지면 무지외반증입니다.
두번째는 발등뼈끼리의 간격의 각도입니다.
2번째 발등뼈와 1번째 발등뼈의 간격이 9도 이상 벌어지면 무지외반증입니다.
무지외반증 원인


1. 하이힐 등의 높은 신발
좁고 굽이 높은 신발을 신으면 발가락 앞쪽에 높은 압력이 발생합니다.
2. 평발
발바닥 아치가 무너진 평발의 경우는 엄지발가락에 힘이 더 들어가게 됩니다.
엄지가 과부화되면 무지외반증 증상이 나타날 수 있습니다.



3. 발이 넓은 경우
발볼이 넓은 분들은 신발이 발을 조이면서 발가락이 안쪽으로 휘어집니다.



4. 엄지발가락이 유연하면 더 쉽게 휠 수 있습니다.



5. 가족력
주로 모계 유전으로 나타나며, 58~88%로 상당히 높은 비율로 생길 수 있습니다.
미소라인F 발가락 스트레칭 밴드, 2개
COUPANG
www.coupang.com
무지외반증 치료


1. 심하지 않은 경우
발볼이 넓은 편안한 신발을 착용하셔야 합니다.
또한 발에 혈액순환이 잘 되도록 족욕 등을 자주 해주면 좋습니다.
2. 심해진 경우
뼈가 튀어나온 부분에 점액낭이 있는데, 그곳이 빨갛게 부어오르거나 염증이 생길 수 있습니다.
이런 경우 소염제 복용이나 충격파 치료를 받으면 좋습니다.
3. 일상 생활 불가능한 경우
신발을 신는 것도 불편하고, 생활에 지장이 생긴다면 수술을 해야 합니다.
무지외반증에 도움되는 운동



1. 엄지발가락만 들어올렸다가, 내리기
2. 발가락 전체를 쫙 펴기
3. 엄지 발가락끼리 밴드걸고 양옆으로 당기기
이 글은 쿠팡 제휴 활동으로
소정의 수수료를 제공받을 수 있습니다.
